2 Union Square, Union City, CA 94587
contact@NeoBiotechnologies.com
510-376-5603

Home >> Antibodies >> Myelin Basic Protein [p Thr98] (Marker of Oligodendrocytes & Myelin)

Myelin Basic Protein [p Thr98] (Marker of Oligodendrocytes & Myelin)

Mouse Monoclonal Antibody [Clone MBP/4276]

Catalog #

Size

20 ug
100 ug
100 ug

Price (USD)

219.00
499.00
499.00

Formulation

Purified Ab with BSA and Azide at 200ug/ml
Purified Ab with BSA and Azide at 200ug/ml
Purified Ab WITHOUT BSA and Azide at 1.0mg/ml

Catalog No

Size

20 ug
100 ug
100 ug

Formulation

Purified Ab with BSA and Azide at 200ug/ml
Purified Ab with BSA and Azide at 200ug/ml
Purified Ab WITHOUT BSA and Azide at 1.0mg/ml

Price (USD)

219.00
499.00
499.00
img

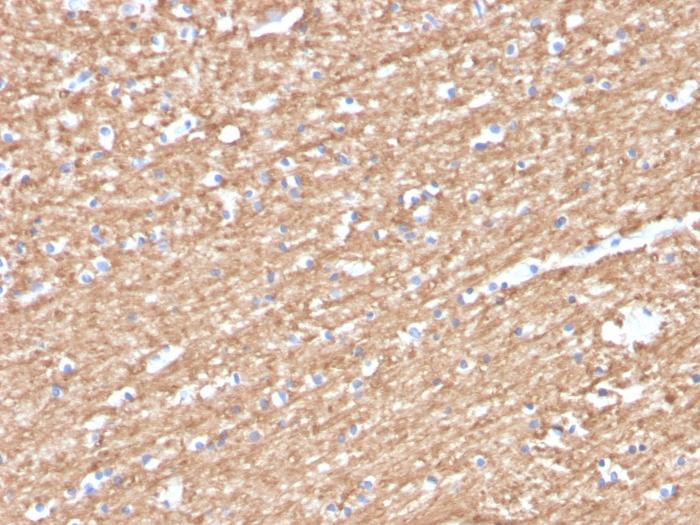
Formalin-fixed, paraffin-embedded human brain stained with Myelin Basic Protein Mouse Monoclonal Antibody (MBP/4276).

img

Formalin-fixed, paraffin-embedded human brain stained with Myelin Basic Protein Mouse Monoclonal Antibody (MBP/4276).

img

SDS-PAGE Analysis Purified Myelin Basic Protein Mouse Monoclonal Antibody (MBP/4276). Confirmation of Purity and Integrity of Antibody.

img

Western Blot Analysis of human brain tissue lysate using Myelin Basic Protein Mouse Monoclonal Antibody (MBP/4276).

Product Details

Synonyms

GDB; Golli MBP; myelin basic protein; Hemopoietic MBP; HMBPR; HUGO; MLD; Myelin A1 Protein, basic; Myelin Deficient; Myelin membrane encephalitogenic protein; SHI; Shiverer; SP

Positive Control

Human brain or astrocytoma tissue.

Known Applications & Suggested Dilutions

ELISA, IF, Western Blot, IHC-P         More Details

ELISA (For coating, order antibody without BSA)
Immunofluorescence (1-2ug/ml)
Western Blot (1-2ug/ml)
Immunohistochemistry (Formalin-fixed) (1-2ug/ml for 30 minutes at RT)
(Staining of formalin-fixed tissues requires heating tissue sections in 10mM Tris with 1mM EDTA, pH 9.0, for 45 min at 95 °C followed by cooling at RT for 20 minutes)
Optimal dilution for a specific application should be determined.

Immunogen

A synthetic peptide phosphorylated at Thr 98 of human MBP

Cellular Localization

Myelin membrane; Peripheral membrane protein; Cytoplasmic side (of myelin).

Species Reactivity

Human.

Host / Ig Isotype

Mouse / IgG2a

Mol. Weight of Antigen

14-22kDa

Specificity & Comments

Myelin basic protein (MBP) is the second most abundant protein in central nervous system (CNS) myelin: it comprises 30% of the total protein and about 10% of the dry weight of myelin. It is the only structural protein found so far to be essential for formation of CNS myelin, and has been called the executive molecule of myelin . MBP can interact with a number of polyanionic proteins including actin, tubulin, calmodulin, and clathrin, and negatively charged lipids, and acquires structure on binding to them. It may act as a membrane actin-binding protein, which might allow it to participate in transmission of extracellular signals to the cytoskeleton in oligodendrocytes and tight junctions in myelin. MBP may be applicable as a marker for oligodendrogliomas. Phosphorylation been shown to decrease its ability to aggregate lipid vesicles and consequently destabilising the compact structure ofmyelin, a destruction that has been observed in demyelinating diseases such as Multiple Sclerosis. MBP/4276 is a useful detector of phosphorylated MBP by binding to Thr98 of human MBP in the phosphorylated state.

Related Products



200ug/ml of Ab purified from Bioreactor Concentrate by Protein A/G. Prepared in 10mM PBS with 0.05% BSA & 0.05% azide. Also available WITHOUT BSA & azide at 1.0mg/ml.

Key References

  1. Yon, M., et al. (1995). Journal of Neuroimmunology, 58.2: 121-129, ISSN 0165-5728.

Bioinformatics

  •  Entrez Gene ID: 4155
  •  Gene Symbol: MBP
  •  SwissProt: P02686
  •  Chromosome Location: 18q23
  •  Unigene: 551713